ESKİŞEHİR AĞIZ, DİŞ VE ÇENE RADYOLOJİSİ

Eskişehir Ağız, Diş ve Çene Radyolojisi

Eskişehir Ağız, Diş ve Çene Radyolojisi – Oldcitydent

Doğru teşhis ve tedavi planlamasının yapılabilmesi için en önemli ve ilk basamak oral diagnoz yani teşhis basamağıdır.

"Oral Diagnoz ve Radyoloji" bölümünde; ağız içinin muayenesi ve röntgenler aracılığı ile detaylı incelemeler sonrasında teşhis koyulur. Ağız içi rahatsızlıklarının nedeninin tespit edilmesinin yanı sıra ileride ortaya çıkabilecek hastalıklar için de ön teşhis işlemleri gerçekleştirilir. Erken teşhis ve koruyucu, önleyici tedaviler ile sorunların en aza indirgenmesi amaçlanır..

Radyoloji

Ağız içi görüntüleme sistemleri özellikle sert dokulara sahip olan çene kemiği ve diş rahatsızlıklarının teşhis ve tedavilerini kolaylaştırmaktadır. Son teknolojik gelişmelerle birlikte en sık kullanılan ağız içi görüntüleme sistemleri; ağız içi kamera, panoramik röntgen ve periapikal röntgendir.

Ağız İçi Kamera

Ağız içi muayenede kullanılan kamera ile; diş çürüklerinden, dolgulara, köprü ve kuronlara kadar tüm dişler detaylı olarak hasta ve hekim tarafından görülebilmektedir. Hasta ve hekimin ekran aracılığı ile gördüğü sistem sayesinde dişler tüm detayları ile incelenerek teşhis ve tedavi yapılmaktadır.

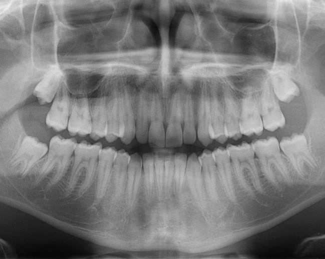
Panoramik Röntgen

Panoramik röntgen ile dişlerin tamamının görüntülenmesi sağlanır. Röntgende filmi ağzın dışına yerleştirilerek çekim gerçekleşir ve dişler ile çevre dokularla beraber tüm üst-alt çene ve çene eklemlerinin incelenmesi sağlanır. İmplantlar, gömülü dişler, kistler vb. işlemlerin uygulanabilmesi amacıyla kullanılan bir görüntüleme yöntemidir.

Periapikal Röntgen

Periapikal röntgen, panoramik röntgenlerde teşhis edilen, ileri ve detaylı görüntüleme gerektiren ağız içi rahatsızlıklar için kullanılan görüntüleme yöntemidir. Birbirine yakın olan dişler ve bu dişlerin kemik dokularının görüntülendiği ağız içi görüntüleme sistemidir. Diş hekimliğinde kullanılan radyografi cihazlarının yaydığı radyasyon miktarı çok düşük olup 0.03 miliraddan daha azdır.

Teşhis ve Tedavi

"Oral Diagnoz ve Radyoloji" bölümü; ağız içi ve dışı tüm görüntüleme teknikleri ile doğru teşhis ve tedavi uygulamalarına yardımcı olmaktadır. OLDCITYDENT Oral Diagnoz ve Radyoloji bölümünde hastaların kayıtları alındıktan sonra detaylı ağız içi muayeneleri ayrıntılı olarak yapılmaktadır. Muayene sonrası teşhis için gerekli olan görüntüleme tekniklerinin bir ya da birkaçı kullanılarak uygun olan tedavi planı hazırlanmaktadır.

Bölümlerimiz
Online Randevu
© 2025 Oldcitydent Ağız ve Diş Sağlığı Hastanesi. Tüm hakları saklıdır.  |  Sitenin son düzenlenme tarihi: 02.02.2025  |  Gizlilik Politikası  |  KVKK Aydınlatma Metni  |  Çerez Politikası

Sitemizde sizlere daha iyi hizmet verebilmek için gizliliğe uygun şekilde çerezler kullanmaktayız. Çerez politikamızı inceleyebilirsiniz. Çerez Politikası

Ana Ekrana Ekle: Safari alt menüsünden "Ana Ekrana Ekle" seçin.