Eskişehir Endodonti
Endodonti dişlerde bulunan kök kanallarının tedavisi ile uğraşan diş hekimliği branşıdır. Dişin mine ve dentin tabakalarının altında "pulpa" olarak adlandırılan, dişin canlılığını sağlayan damar ve sinir paketinin bulunduğu bir bölüm vardır. Pulpanın herhangi bir sebeple iltihaplanması durumunda dişin sinirlerinin alınarak kanalların dezenfekte edilip doldurulması gerekir.
Kanal tedavisine ihtiyaç duyan hastalarımız genelde ağrı ve hassasiyet şikâyetiyle başvururlar. Bu tip vakalarda dişin üzerine vurulduğunda hasta ağrı duyar. Herhangi bir şekilde ağrıyla belirti vermeyen vakalarda diş ölmüştür ve kök ucunda lezyon oluşumu vardır. Bu tip vakaların teşhisi yüz şişmesi veya röntgen alınması sonucu konur.
Kanal Tedavisi
Kanal tedavisi lokal anestezi altında yapılır ve ağrı duyulmaz. Dişin ağızda görünen kuron kısmından dişin sinir tabakasına açılan bir oyuktan dişin çene kemiği içindeki kök kısmına giriş yapılır. Dişler 1, 2, 3 kanallı olabilir; hatta bazı dişlerde normalden fazla sayıda kanal bulunur. Kanal tedavisi işlemi; sinirlerin alınması, kanalların şekillendirilip mikroorganizmalardan arındırılması ve daha sonrasında genişletilmiş kanalların doldurulması işlemidir. Daha sonra dişin kuron kısmına harabiyetin büyüklüğüne göre restorasyon yapılır ve dişin estetik ve fonksiyonel devamlılığı sağlanır.
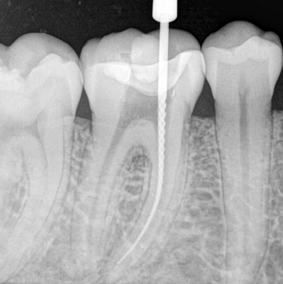
Kliniğimizde klasik radyografilerin yanında dijital radyografiler de tedavinin her aşamasında kullanılmaktadır.